CERVICAL MATRIX AS A RESTORATIVE APPROACH IN NON-CARIOUS CERVICAL LESIONS: CASE REPORT

Autores

  • Jannefer Leite de Oliveira
  • Adriana Barbosa Rodrigues
  • Edna Fernanda Dias Leão
  • Soraya Mameluque
  • Tânia Coelho Rocha Caldeira
  • Danilo Cangussu Mendes Universidade Estadual de Montes Claros (UNIMONTES)

DOI:

https://doi.org/10.33947/1982-3282-v16n4-4677

Palavras-chave:

Tooth Wear, Dental Restoration, Esthetics.

Resumo

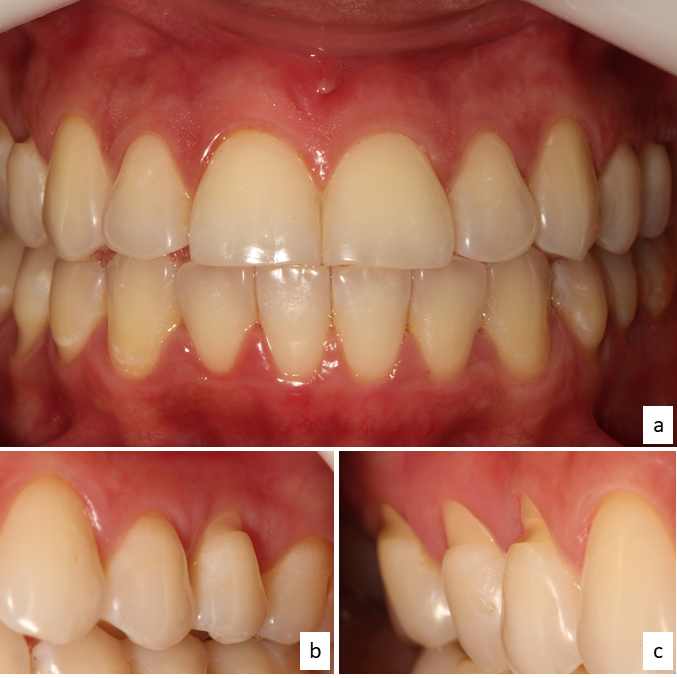
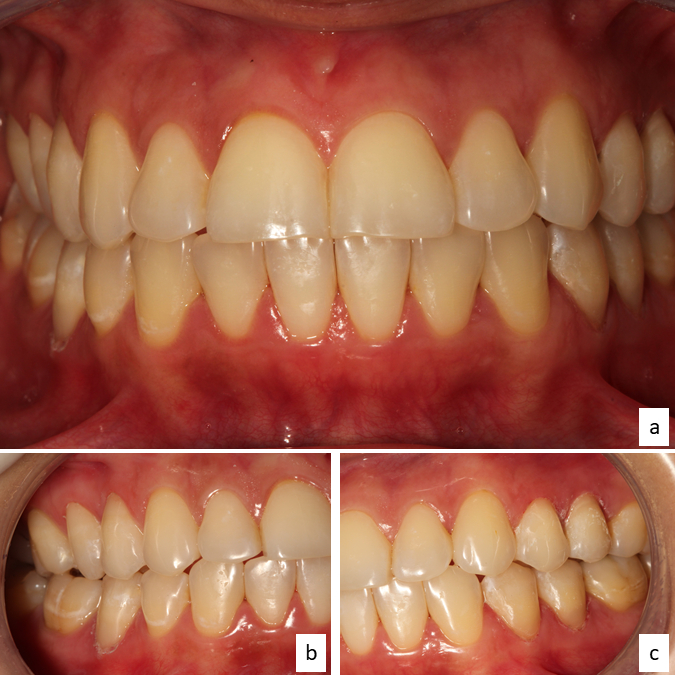
Introduction: Non-Carious Cervical Lesions (NCCL´s) are pathological conditions of multifactorial etiology. Aim: This case report highlights the use of a cervical matrix for technical simplification of the procedure of class V restoration. Case report: Patient attended a specialized center for diagnosis and treatment of non-carious diseases, complaining of dentin hypersensitivity and aesthetic discomfort due to loss of tooth structure in the cervical region. The proposed treatment plan was basic periodontal treatment and subsequent restoration of all cervical lesions that had a loss of tooth structure greater than 1 mm. The transparent cervical matrix was used to promote correct anatomical contour of the cervical third of the buccal surface and the emergence profile. Conclusion: The use of the cervical matrix is presented as a facilitating tool for the restorative treatment of NCCL´s.

Downloads

Publicado

2023-06-26

Como Citar

Oliveira, J. L. de, Rodrigues, A. B., Leão, E. F. D., Mameluque, S., Caldeira, T. C. R., & Mendes, D. C. (2023). CERVICAL MATRIX AS A RESTORATIVE APPROACH IN NON-CARIOUS CERVICAL LESIONS: CASE REPORT. Revista Saúde - UNG-Ser - ISSN 1982-3282, 16(4), 43–53. https://doi.org/10.33947/1982-3282-v16n4-4677

Edição

Seção

RELATO DE EXPERIÊNCIA/CASO CLÍNICO